0.4 C
New York
01 / 05 / 26

Registrujte se

Prijavite se za ekskluzivan sadržaj prilagođen Vašem interesovanju

― Advertisement ―

spot_img
NaslovnaNeurologijaIshodi nakon intracerebralnog krvarenja i dekompresivne kranijektomije kod starijih odraslih osoba

Ishodi nakon intracerebralnog krvarenja i dekompresivne kranijektomije kod starijih odraslih osoba

Noviji podaci pokazuju da su globalna učestalost i stopa smrtnosti od moždanog udara porasli alarmantno za oko 5% između 2010. i 2017. godine, a jasni razlozi za ovaj porast još uvek nisu pouzdano utvrđeni. Učestalost moždanog udara pokazuje jasnu povezanost sa godinama starosti. Udeo ljudi mlađih od 45 godina među onima koji su doživeli moždani udar je između 5–10% u razvijenim zapadnim ekonomijama, dok je u zemljama u razvoju taj udeo znatno veći, i iznosi 19–30%.

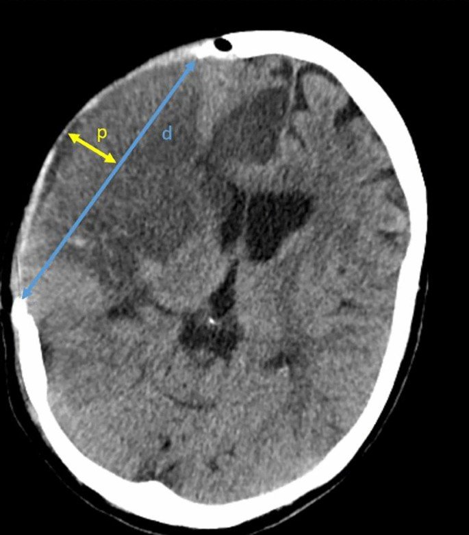
Spontano netraumatsko intracerebralno krvarenje (ICH) je drugi najčešći uzrok moždanog udara, odmah iza ishemijskog, i čini oko 10–20% svih slučajeva. Ova retrospektivna, multicentrična, deskriptivna opservaciona studija analizira ishode nakon ICH i dekompresivne kranijektomije (DC) kod starijih odraslih osoba (>65 godina), koji su lečeni u četiri nemačke zdravstvene ustanove koje su izvele ovo istraživanje.

Klinički ishodi su prvi put evaluirani pri otpustu iz bolnice, a zatim i 12 meseci nakon operacije, pomoću Glazgovske skale ishoda (Glasgow outcome scale-GOS). Pacijenti su podeljeni u starosne grupe od ≤65 i >65 godina, te u kohorte sa povoljnim ishodom (GOS IV–V) i nepovoljnim ishodom (GOS I–III). 73,2% pacijenata je bilo starosti ≤65 godina, a 26,8% starijih od 65 godina. Prosečna starost je bila 53,3 godina. Tokom bolničkog lečenja, 24,4% pacijenata u grupi mlađih (≤65 godina) i 33,3% u grupi starijih pacijenata (>65 godina) je umrlo. Prosečno vreme između javljanja moždanog udara i hirurške intervencije je bilo 44,4 sata za grupu mlađih, i 27,9 sati u grupi starijih pacijenata.

Dvanaest meseci nakon intracerebralnog krvarenja i dekompresivne kranijektomije, približno 31% pacijenata je umrlo, a približno polovina pacijenata (46%) je zavisila od tuđe pomoći u obavljanju svakodnevnih aktivnosti. Ustanovljen je veoma visok rizik od nepovoljnog ishoda nakon intracerebralnog krvarenja i dekompresivne kranijektomije kod pacijenata starijih od 65 godina (73%), što znači da će na duži rok samo manji deo pogođenih starijih odraslih osoba imati zadovoljavajući ishod, koji pored preživljavanja podrazumeva i zadržavanje sposobnosti samostalnog obavljanja svakodnevnih aktivnosti.

Izvor: Kapapa, T.; Jesuthasan, S.; Schiller, F.; Schiller, F.; Oehmichen, M.; Woischneck, D.; Mayer, B.; Pala, A. Outcome after Intracerebral Haemorrhage and Decompressive Craniectomy in Older Adults. Neurol. Int. 2024, 16, 590-604. https://doi.org/10.3390/neurolint16030044